-

인터넷 검색광고 시장 ‘춘추전국시대’
인터넷 ‘검색광고’ 시장이 승패와 순위를 가름할 수 없는 혼전을 거듭하고 있다. 누구도 난세를 평정할 수 없을 것처럼 보이는 상황에서 새로운 경쟁자들의 출현과 추격이 이어진다. 그렇다면 ‘춘추전국시대’를 맞이한 검색광고 시장에서 누…
20030515 2003년 05월 07일 -

사라진 유방 살려내니 가슴 벅차요
45세 여성 A씨는 작년에 유방암 판정을 받고 유방절제수술을 받았다. 그 후 몇 차례의 항암치료를 받고 다행히 정상적인 생활을 할 수 있게 됐는데 암의 고통이 사라지자 이번에는 잃어버린 가슴으로 인한 우울증이 찾아왔다. ‘여성의 상…
20030515 2003년 05월 07일 -

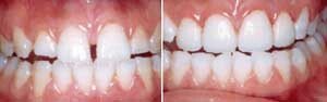
건강한 치아가 환한 웃음 만든다
요즘처럼 경기가 어려울 때는 무엇보다 기업의 서비스정신이 강조된다. 고객을 대할 때는 항상 웃고, 고객에게 인사할 때는 정중하게 하라 등등…. 그중에서도 서비스정신의 기본은 환한 미소다. 하지만 마음만 굴뚝같을 뿐 활짝 웃으려야 웃…
20030515 2003년 05월 07일 -

잠자리 고통은 가라, 이젠 밤이 좋아
”누가 볼까봐….” “실력을 알 수 없어서….” 자신의 성(性)에 불만이 있거나 장애가 있는 사람들이 선뜻 비뇨기과를 찾지 못하는 가장 큰 이유는 다른 사람의 시선과 치료 실패에 대한 두려움 때문이다. 비뇨기과에서 어쩔 수 없이 마…
20030515 2003년 05월 07일 -

‘체외사정’ 완벽 피임법 아니다“
”이상하다. 뭔가 잘못된 것 같은데…. 선생님, 정액은 사정할 때만 나오는 거 아닙니까?” 비뇨기과를 찾는 젊은 남성들 중에 이런 질문을 하는 사람들이 종종 있다. 새파랗게 질린 얼굴로 이렇게 묻는 사람도 있고 씩씩대며 묻는 사람…
20030515 2003년 05월 07일 -

백내장 싹~ 맑은 세상을 그대에게
최근 집 근처 안과에서 백내장 수술을 받은 김모씨(67)는 한 달 사이에 천당과 지옥을 오갔다. 당뇨 합병증으로 발생한 백내장 수술을 하고 난 후 1~2주간은 천국이 따로 없었다. 뿌옇게 보였던 세상이 맑게 보이고, 시력도 더 좋아…
20030508 2003년 05월 02일 -

‘사마귀’에 대한 몇 가지 오해
많은 사람들이 사마귀라는 피부질환에 대해 잘못된 상식을 갖고 있다. 사마귀가 육식성 곤충인 사마귀에 물려 생긴다고 생각하거나, 발바닥에 생긴 사마귀를 굳은살이나 티눈으로 오해하는 경우가 바로 그것.사마귀는 한마디로 바이러스에 의해 …
20030508 2003년 05월 02일 -

수도꼭지 이상 징후 쉬쉬하면 안 돼!
남자의 몸 안에는 ‘호두알’과 크기, 무게, 모양이 거의 비슷한 신체기관이 하나 있다. 전립선이 바로 그것. 전립선은 20대까지 정상적인 크기를 유지하다 40대 전후로 커지기 시작하는데, 문제는 전립선이 호두알보다 더 커지면 병이 …
20030508 2003년 05월 02일 -

거미에서 뽑아내는 섬유산업의 미래
자기 몸에서 실을 만들어내는 생물에는 어떤 것들이 있을까. 누에와 거미가 가장 먼저 떠오르지만 정확하게는 절지동물 가운데 곤충류, 거미류, 다지류 세 종류가 실을 자아낼 수 있다. 누에나방의 유충인 누에가 잣는 실은 ‘비단’이라는 …
20030508 2003년 04월 30일 -

어느 노인의 섹스 일기장
‘2003년 2월21일 5회, 조금 섭섭한 면이 없지 않다.’만년에 젊은 아내를 맞이한 어느 정력가 노인의 일기장이 최근 인터넷에서 화제를 불러일으키고 있다. 매일 밤과 낮, 아침을 가리지 않고 섹스에 ‘매진’하면서 쓴 노인의 일기…
20030508 2003년 04월 30일 -

중국 ‘석씨 다이어트’ 한국 상륙
키 179cm에 몸무게 265kg인 스무 살 청년이 다이어트 치료를 시작한 지 1년3개월 만에 87kg의 날씬한 몸(178kg 감량)을 갖게 됐다면, 174kg의 열한 살짜리 어린이가 6개월간의 치료로 60kg를 뺐다면, 또 100…
20030501 2003년 04월 23일 -

밤에 보채고 잘 운다면 혹시 ‘야제증’?
밤에 보채고 잘 운다면 혹시 ‘야제증’?“아이의 밤낮이 바뀌어 힘들어 죽겠어요.”요즘 한의원을 찾는 어머니 중 이런 호소를 하는 이가 적지 않다. 무심코 말을 꺼냈던 어머니들도 “이런 증세가 병이 될 수도 있다”는 이야기를 들으면 …
20030501 2003년 04월 23일 -

폐 관련 질환 말끔 ‘편강탕’ 효험 입소문
회사원 조정희씨(37)는 최근 경기 안산시 고잔동 편강한의원에서 ‘편강탕’이라는 한약을 지어 먹은 후 끊임없이 나오는 콧물과 재채기를 ‘잡았다.’ 직장에서건 집에서건 항상 끼고 살았던 휴지도 이제 더 이상 필요 없게 되었다. 그의 …
20030501 2003년 04월 23일 -

남자의 자신감은 아랫도리에서?
40대 중소기업 사장인 김이근씨(가명·44)는 한때 친구들로부터 ‘도둑골퍼’로 불렸다. 필드에 나가면 라운딩이 끝나기가 무섭게 샤워도 하지 않고 휑하니 사라져버렸기 때문. 이런저런 비용 계산은 언제나 친구들 차지다 보니 그런 별명이…
20030501 2003년 04월 23일 -

수술 노하우 ‘빵빵’ 답답한 코 ‘뻥뻥’
코 막힘, 누런 코, 재채기, 맑은 콧물, 코골이, 수면무호흡증, 수면부족, 입냄새…. 코 관련 질환이 있으면 ‘인생이 황폐해진다’는 말이 있다. 코가 막히면 밤새 코를 골거나 잠을 잘 이루지 못하며 하루 종일 두통에 시달린다. 냄…
20030424 2003년 04월 17일 -

‘청년 백발’ 스트레스가 주범
“20대에 백발이라니….”요즘 대기업 화장실에서는 때 아닌 한숨소리가 자주 나온다고 한다. 어느 날 갑자기 백발이 된 자신의 머리를 쥐어뜯으며 인생의 가혹함을 슬퍼하는 젊은이들. 처음에 머리 옆부분이 희끗희끗해질 때는 새치거니 하고…
20030424 2003년 04월 17일 -

‘사스’보다 무지가 더 무섭다
전 세계적으로 번져가는 중증 급성 호흡기 증후군(사스·SARS) 때문에 온 나라가 공포에 휩싸였다. 지난해 11월 중국 광둥지역에서 처음 발생한 사스는 3월 말 홍콩, 싱가포르, 베트남 등 20여개국으로 감염지역을 넓히며 환자와 사…
20030424 2003년 04월 17일 -

“TV 비켜!”… PC ‘거실 함락 작전’
2003년 정보기술(IT)업계의 화두는 단연 ‘디지털 컨버전스(통합·Convergence)’다. 디지털 방식을 사용하는 모든 기기들이 서로를 닮아가고 있는 것이다. 디지털캠코더에는 정지 화상을 찍을 수 있는 디지털카메라 기능이 추가…
20030424 2003년 04월 17일 -

뭐, 먼지 99.97%를 걸러내?
황사의 계절이 돌아왔다. 예년과 달리 4월 들어서도 황사 소식이 없어 혹시 올해는 그냥 지나가는 게 아닐까 하고 기대하는 이들도 많다. 그러나 기상청 발표나 전문가의 분석에 따르면 올해는 연례행사가 잠시 미뤄졌을 뿐이다. 황사 발원…
20030424 2003년 04월 17일 -

섹스는 건강의 바로미터
섹스를 잘하면 젊음이 유지된다? 웃어넘길 이야기 같지만 이미 과학적으로 입증된 사실이다. 건강하고 활력이 넘치며 젊어 보이는 사람들 중 열의 아홉은 섹스의 달인일 가능성이 높다.최근의 연구결과도 이를 뒷받침한다. 스코틀랜드의 심…
20030424 2003년 04월 16일