-

‘퓨전 과학기술’로 SF 세상 만든다
혈관 속을 지나갈 수 있을 정도로 작은 로봇이 사고나 노화로 손상된 신체 일부분을 되살리는 의료혁명, 현재의 슈퍼컴퓨터가 휴대할 수 있을 정도로 작아져 언제 어디서나 통신할 수 있는 정보통신혁명, 그리고 수많은 인파 속에서 수상한 …
20030731 2003년 07월 24일 -

“부부는 닮는다? 노! 닮아야 부부 된다”
‘부부는 닮는다’는 말이 있다. 한 집에서 같은 음식을 먹고 같은 생활습관을 갖다보면 어딘지 인상이 비슷해지는 건 당연한 일일지도 모른다. 그런데 일부 과학자들은 ‘닮아진 것’이 아니라 ‘원래 닮아 있었다’고 주장한다. 사람은 자신…
20020926 2003년 07월 22일 -

툭 불거진 ‘힘줄’ 칼 안 대고도 ‘말끔’
두아이를 둔 가정주부 김이경씨(33). 유난히 마른 체구에 창백한 얼굴을 가진 김씨는 가냘픈 팔 위로 지렁이처럼 불거진 굵은 힘줄(혈관) 때문에 아무리 더운 날에도 외출할 때는 반소매 옷을 입지 못한다. 게다가 창백한 얼굴에 푸르게…
20030724 2003년 07월 18일 -

아이들 여름감기 잘 걸리는 이유는
요즘은 여름에도 ‘너무 추워서’ 병이 생긴다. 그 대표적인 것이 여름감기다. 여름감기는 겨울감기에 비해 기침은 덜하지만 눈과 피부가 건조해지고 설사나 장염이 동반되는 경우가 많다. 한번 걸리면 잘 낫지도 않는 여름감기는 어딜 가나 …
20030724 2003년 07월 18일 -

‘살’ 빼려면 에너지 소비등급 올려라
본격적인 노출의 계절이 왔다. 평소 다이어트에 관심 없던 사람도 여름만 되면 살을 빼야겠다는 둥 운동을 시작했다는 둥 하며 갑작스레 마음이 바빠진다. 강이나 바다로 휴가를 떠나면 그동안 꼭꼭 숨겨온 속살을 보일 수밖에 없기 때문. …
20030724 2003년 07월 18일 -

천연물로 질병 잡기 … 25년 세월 ‘올인’
”어렵고 힘든 일은 여성임을 내세워 기피하고 쉽고 편한 일만 하려 한다면 누가 같이 일하고 싶겠습니까.”대한민국 과학기술훈장 웅비장(2001년), 과학기술부 여성과학자상(2002년), 로레알 여성생명과학상(2003년) 등 최근 몇 …
20030724 2003년 07월 18일 -

재채기는 중세시대의 피임법?
콘돔이나 먹는 피임약이 없었던 고대나 중세시대의 사람들은 도대체 어떤 방법으로 피임을 했을까. 그들에게 피임이라는 개념이 있기나 했을까.과학적으로 입증되지는 않았지만 피임에 관한 재미있는 속설들이 많다. 그중 하나가 의학의 아버지 …
20030724 2003년 07월 16일 -

대물 꿈꾸는 속물들의 콤플렉스
‘여자의 그것이 크면 남자의 그것도 커야 한다?’이렇게 생각하는 남자들이 많겠지만 사실 대부분의 여자들은 남자의 ‘그것’의 크기에 별 관심이 없다. 질이 작은 여자는 성기가 작은 남자를 좋아하는 경향이 있지만, 이는 다만 개인의 취…
20030717 2003년 07월 10일 -

‘대상포진’ 참았다간 더 큰 병 된다
질병에 대한 정보가 홍수를 이루면서 생겨난 병폐 가운데 하나가 ‘자가진단’하고 ‘자가처방’하는 환자가 늘어났다는 점이다. 건강에 관한 정보가 쏟아져 나온다고 해서 일반인이 모든 질병에 대해 전문가가 될 수 없고, 또 정보 자체도 잘…
20030717 2003년 07월 10일 -

물놀이의 계절 … ‘코·귀’ 물조심!
본격적인 여름 휴가철을 맞아 바다나 강을 찾는 사람들이 많다. 하지만 여름 물놀이가 때로는 코와 귀 질환의 원인이 된다는 사실을 아는 사람은 드물다. 특히 수영, 스쿠버다이빙, 윈드서핑, 요트, 수상스키, 제트스키 등 물과 관련한 …
20030717 2003년 07월 10일 -

알뜰한 당신! 꺼내라 ‘멤버십 카드’
요즘엔 제 값 내고 영화를 보거나 커피를 마시면 바보라는 소리를 들을 만큼 다양한 할인 기회가 마련돼 있다. 휴대전화 사용자들에게 제공되는 이동통신 멤버십 카드도 그중 하나다. 그동안 ‘몰라서’ 혹은 ‘귀찮아서’ 멤버십 카드를 사용…
20030717 2003년 07월 10일 -

2030년엔 매트릭스 세상?
최근 영화 ‘매트릭스’ 2편이 화제 속에 개봉돼 많은 사람들이 관람했다. 기대가 컸던 탓인지 액션과 내용이 ‘따로 논다’는 악평에서부터 1편에 못지 않은 재미와 반전을 준다는 호평에 이르기까지 반응도 다양했다. 하지만 영화 ‘매트릭…
20030717 2003년 07월 10일 -

지식검색, 어떤 포털사이트가 강자일까
“보통 선서할 때 오른손을 올린 뒤 선서! 하나, 우리는 어쩌고. 하나, 우리는 저쩌고 이런 식으로 하나, 하나, 하나만 외치는데 왜 그런가요?” “선풍기 날개는 왜 3개 아니면 4개인 거죠? 날개의 수가 많아지면 선풍기 바람도 강…
20030710 2003년 07월 03일 -

허약체질 개선? 검은색 농산물이 딱
검은색 식품으로 만든 음식이 대유행이다. 검은깨 두유, 검은콩 우유, 검은쌀 밥, 검은콩 국수 등. 그러나 대부분의 사람들은 이러한 현상이 각 식품회사가 벌인 집중적 홍보 마케팅의 결과라며 ‘블랙 푸드’의 가치를 애써 폄하하고 있다…
20030710 2003년 07월 03일 -

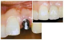
인공치아 임플란트는 ‘충치 해결사’
충치는 관절염, 고혈압에 이어 세 번째로 우리 국민이 자주 걸리는 만성 질환이다. 충치는 저절로 낫는 병이 아니다. 물론 약으로도 치료할 수 없다. 치과에서 썩은 부위를 긁어내고 레진·도자기·금 등으로 메우거나, 충치가 신경까지 침…
20030710 2003년 07월 03일 -

머나먼 절정 … 지루증의 고민
“정말 미치겠습니다. 아내는 아내대로 힘들어하고….”30대 초반의 회사원 오래가씨(가명) 부부에게는 아주 ‘이상한’ 섹스 트러블이 있다. 결혼한 지 1년도 채 되지 않았는데 오씨의 부인은 퇴근하고 돌아온 남편과 눈을 마주치기가 마냥…
20030710 2003년 07월 02일 -

니들이 ‘갯벌의 가치’를 알아?
갯벌은 바닷물이 빠질 때 드러나는 육지와 바다 사이의 해저 바닥으로, 우리나라에는 서해에 드넓게 발달해 있다. 서해는 간만의 차가 최고 9m에 달해 갯벌이 발달할 수 있는 최적의 조건을 갖췄다. 북쪽 지역을 고려하지 않더라도 인천에…
20030710 2003년 07월 02일 -

암치료 보조 물질 ‘AHCC’ 아시나요
일본 홋카이도의 도청 소재지인 삿포로시. 해마다 눈축제가 열리는 오도리 공원이 유명한 이곳에서 지난 8월 말에 전 세계 350여명의 의학자들이 참여하는 대규모 학술대회가 개최됐다. 올해로 10회째를 맞는 AHCC연구회 국제심포지엄이…
20020926 2003년 07월 01일 -

누에 수요 폭증한 까닭은? 남성들에게 물어봐!
최근 일부 언론에서 ‘올해 누에 사육량이 10%나 증가하고 양잠 농가의 소득이 크게 늘어났다’는 보도가 나온 적이 있다. 인조섬유의 개발과 함께 급격한 감소세를 보여왔던 누에 생산량과 양잠 농가의 소득이 90년대 중반 이후 꾸준한 …
20020926 2003년 07월 01일 -

물도 잘 고르면 ‘만병통치약’
인체에 있어서 물은 곧 건강과 직결된다. 우리가 마신 물은 잠시도 쉬지 않고 온몸을 돌아다닌다. 우리가 매일 마시는 물은 입→위→장→간장·심장→혈액→세포→혈액→신장→배설 등의 순서로 우리 몸 이곳저곳을 끊임없이 순환한다. 따라서 사…
20020926 2003년 07월 01일